[다이어트 보조제] 여자는 빨간통 ! 빨간통 다이어트
너무나 쉽게 눈에 띄는 빨간통 다이어트 광고.

시즌1에서 시작해서 지금은 기능성 원료를 추가해서 시즌4가 나왔다는.

제품 상세정보를 들어가보니 너무나 깔끔하게 정리되어있어서 쉽게 이해할 수 있었던 거 같네요.
공들인 티가 팍팍 느껴지는.
서현이 성공한 체지방 감소 건강한 다이어트 [콜레올로지 컷 PRO]

거기에 기능성의 원료를 추가해서 더 업시킨 제품.

녹차추출물 또한 기능성 소재로 공시되어있기에 약간은 생소한 바나바잎 추출물에 대해서 좀 더 구체적으로 검색을 해볼까해요. 식후 혈당 상승을 억제하는데 도움을 준다는 바나바잎 추출물의 효과에 대한 논문 서칭 ! 고고고 !!!
바나바잎 추출물의 지표성분은 1% 코로솔산(Glucosol).
바나바의 학명은 Lagerstroemia speciosa

그 결과를 살펴보았을 시,

연질 젤라틴 캡슐로 제형한 Glucosol™이 건조 분말 경질 젤라틴 캡슐로 제형한 Glucosol™에 비해 혈당을 상당히 낮추는 효과가 있음을 분명히 보여줍니다. 이는 Glucosol™의 활성 트리테르펜 성분이 지방친화적이며 오일 기반 연질 젤라틴 캡슐 제형에서 더 잘 흡수됨을 시사함.
바나바입추출물로 다른 논문이 있을까 검색을 해보니...
[논문서칭1] Sprague-Dawley 쥐에서의 Lagerstroemia speciosa의 급성 및 아급성 경구 독성

Lagerstroemia speciosa (바나바) 잎 관련 보고된 효능들.
- 혈당 조절: 필리핀에서 혈당을 낮추는 보조제로 사용됨 (Carew and Chin, 1961).
- 항산화 활성: HepG2 세포주에서 항산화 효과가 있음 (Thakur and Devaraj, 2020).
- 포도당 수송체 개선: 코로솔산이 포도당 수송체 개선에 효과적 (Murakami et al., 1993).
- 항염 효과: 항염 활성이 있음 (Rohit Singh and Ezhilarasan, 2021).
- 소화 효소 억제: 레기닌 A, 라거스트로에민, 플로신 B가 소화 효소를 억제 (Hayashi et al., 2002; Suzuki et al., 2001).
- 크산틴 산화효소 억제: 강력한 크산틴 산화효소 억제 효과를 보임 (Unno et al., 2000).
급성`아급성 연구 실험결과를 살펴보았을 시,
1) LS를 2000 mg/kg 용량으로 투여한 급성 독성 연구에서 독성, 사망률, 이환율이 없었으며, 쥐의 움직임, 신체적 및 행동적 매개변수, 전반적인 모습, 타액 및 눈물 분비에 변화가 없었음.
2) 아급성 연구에서 200 mg/kg 용량의 LS 치료는 독성, 사망률, 이환율이 없었고, 체중 변화나 평균 체중에 유의미한 차이가 없었음. 또한, FBG 수치와 장기 무게에도 큰 변화가 없었음.
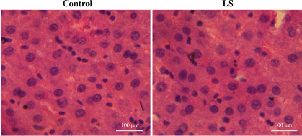
3) 아급성 연구에서 대조군과 LS 치료군의 간 조직 구조에는 변화가 없었으며, 세포사멸, 조직 분해, 풍선화가 관찰되지 않았음.

결론적으로, LS는 전통 의학에서 당뇨병 등 다양한 질병 치료에 활용되며 항산화제 역할을 함. 기존 연구에 따르면 LS는 항산화, 항균, 간 보호, 항염 등 다양한 약리 효과를 보임. 급성 및 아급성 독성 평가에서 LS는 독성이 없고 안전한 것으로 나타났음. ROS 생성에 유의미한 변화는 없었고, MDA, GSH, SOD 활동을 통한 항산화 효과가 확인되었음. 임상적, 과학적 데이터는 부족하지만, LS는 독성이 없고 여러 약리학적 효과를 가진 것으로 알려져 있음.
[논문서칭2] 바나바(Lagerstroemia speciosa L.)와 코로솔산의 효능 및 안전성에 대한 고찰

=> 바나바(Lagerstroemia speciosa L.)는 동남아시아를 비롯한 여러 지역에서 당뇨병 치료에 민간 요법으로 사용되어 왔음. 수용성(뜨거운 물) 및 메탄올 추출물의 저혈당 효과는 여러 동물 모델과 인간 연구에서 입증되었음. 주로 식물의 잎에서 유기 용매로 분리된 코로솔산이 바나바 추출물의 표준화에 사용되며, 엘라기탄닌 또한 바나바의 인슐린 유사 활동과 항산화, 항염증, 포도당 조절에 기여할 수 있음.
=> 바나바 추출물은 오랜 시간 동안 민간 요법에서 당뇨병 치료에 사용되어 왔으며, 1940년에 최초의 연구 결과가 보고되었음. 바나바의 저혈당 효과는 주로 코로솔산과 엘라기탄닌에 기인함. 동물 모델과 인간 피험자를 대상으로 한 연구에서, 수용성 바나바 잎 추출물, 코로솔산 표준화 추출물, 정제된 코로솔산, 엘라기탄닌 등이 사용되었고, 순수한 코로솔산은 60분 이내에 혈당을 감소시키는 것으로 보고되었음.
=> 코로솔산(Corosolic acid)은 항고지혈증, 항산화, 항염증, 항진균, 항바이러스, 항종양 및 골형성 활동을 나타내며, 바나바와 코로솔산의 효과는 포도당 세포 흡수 증가, 자당 및 전분의 가수분해 손상, 포도당신생성 감소, 지질 대사 조절 등을 포함한 여러 메커니즘에 의해 이루어질 수 있음. 이러한 효과는 PPAR, MAPK, NF-κB 등의 신호 전달 인자에 의해 매개될 수 있음. 동물 연구와 통제된 인간 임상 시험에서 부작용은 관찰되지 않았으며, 바나바 추출물과 코로솔산은 대사 증후군과 관련된 증상 완화 및 기타 건강상의 이점을 제공할 수 있음.
또 다른 연구들
(1) Tsuchibe 등 ( 2006 )이 설명한 것과 동일한 10 mg 코로솔산을 함유한 소프트 젤 제품을 사용하여 전당뇨 또는 2형 당뇨병이 있는 100명의 피험자가 등록. 피험자의 절반은 코로솔산-표준화된 바나바 추출물을 함유한 소프트 젤 하나를 받았고 나머지 절반은 30일 동안 위약을 투여받았음. 치료군의 공복 및 식후 2시간 혈당 수치는 대조군(위약)에 비해 10% 감소. 또한, 갈증, 졸음, 배고픔이 감소하는 등 당뇨병 증상이 개선되었음. 게다가 부작용은 관찰되지 않았고 혈압, 간 또는 신장 기능, 혈구 수 또는 헤모글로빈에 변화가 없었음.
(2) Fukushima et al. (2006)은 31명의 피험자를 대상으로 이중 맹검 교차 설계로 연구를 수행. 피험자들은 75 g 경구 포도당 내성 검사 5분 전에 10 mg의 코로솔산 또는 위약을 투여받았으며, 혈당 수치는 2시간 동안 30분 간격으로 측정되었음. 연구 결과, 코로솔산 치료가 대조군에 비해 60~120분 사이에 혈당 수치를 유의미하게 낮추었으며, 특히 90분 시점에서 통계적으로 유의미한 차이(p < 0.05)를 보였음. 사용된 코로솔산의 순도가 99%였으므로, 혈당 강하 효과는 코로솔산에 기인한 것으로 결론지었음.
(3) Yamada et al. (2008a)는 쥐의 간에서 코로솔산이 포도당신생성에 미치는 영향을 조사했음. 연구에 따르면 코로솔산(20–100 µM)은 용량 의존적으로 순환 AMP 수치를 낮추고, 단백질 키나아제 A 활성을 억제하며, 과당-2,6-이인산 생성을 증가시켜 포도당신생성을 감소시켰음. 또한, 코로솔산은 글루코키나아제 활성을 증가시켜 해당과정을 촉진하지만, 포도당-6-포스파타아제 활성에는 영향을 미치지 않았습니다. 이 연구는 코로솔산의 항당뇨 효과에 대한 기전적 정보를 제공.
(4) Deocaris 등 (2005)은 알록산 유도 당뇨 마우스에 바나바 잎 추출물을 피하 주사로 투여한 연구를 수행. 연구에서 바나바 잎 추출물은 단독으로는 혈당 수치에 미미한 영향을 미쳤지만, 인슐린과 결합했을 때 그 효과가 상승. 또한, 바나바 잎에 감마선을 조사한 결과, 조사된 추출물이 비조사 추출물보다 인슐린과 혼합되었을 때 혈당 강하 활성이 더 높아졌으며, 이는 방사선 조사가 활성 성분의 추출 효율을 개선했음을 시사.
(5) Takagi et al. (2010)은 유전적 당뇨 마우스(KK-Ay)를 대상으로 한 연구에서, 코로솔산이 포함된 식단을 10주 동안 섭취시킨 결과 혈중 콜레스테롤과 간 콜레스테롤 함량이 각각 32%와 46% 감소했다고 보고. 또한, 코로솔산은 콜레스테롤 아실트랜스퍼라제 효소를 억제해 콜레스테롤 흡수를 억제하며, 콜레스테롤 수치를 현저히 낮추는 효과를 나타냈음.
(6) Shi et al. (2008)는 코로솔산이 인슐린 수용체 인산화를 증가시켜 포도당 흡수를 촉진하고, 당뇨병과 관련된 여러 비수용체 단백질 티로신 인산가수분해효소를 억제한다는 것을 입증. 이 연구는 코로솔산의 저혈당 효과에 대한 기전적 근거를 제공.
바나바잎추출물 및 코로콜산 연구에 대한 요약
바나바잎추출물은 항당뇨 및 항비만 효과를 나타내며, 주된 활성 성분은 코로솔산과 엘라기탄닌입니다. 코로솔산은 포도당 조절, 인슐린 민감성 개선, 콜레스테롤 감소 등 다양한 대사 관련 문제를 해결하는 데 유익한 효과를 보입니다. 현재까지 동물과 인간 연구에서 코로솔산이나 바나바 추출물의 부작용은 보고되지 않았음. 그러나 추가적인 안전성 및 효능 연구가 필요하며, 특히 코로솔산과 엘라기탄닌의 독성 평가와 대사 증후군에 대한 효과를 명확히 하기 위한 연구가 요구됨.

미생물군을 표적으로 삼은 식이요법과 프로바이오틱스 개입은 항산화 활동 강화, 면역 항상성 개선, 만성 염증 억제, 신진대사 조절 및 인슐린 저항성 예방을 통해 숙주 건강에 긍정적인 영향을 미침 ( 장내 미생물 환경의 결함을 바로잡고 혈당 수치, 당화 헤모글로빈, 체중 감소 등의 대사 매개변수를 개선하는 데 도움이 될 수 있음).

[논문서칭3] Lagerstroemia speciosa의 항당뇨 및 항비만 활동

연구내용: Lagerstroemia speciosa(바나바)는 동남아시아, 특히 필리핀에서 전통적으로 당뇨병과 신장 질환을 치료하는 데 사용되어 왔음. 1990년대부터 바나바의 항당뇨 효과에 대한 과학적 연구가 활발히 진행되었으며, 여러 시험관 내 및 생체 내 연구에서 그 효능이 확인. 연구자들은 바나바의 다양한 성분을 분석하여, 메탄올 추출물에서 코로솔산이 주요 활성 화합물임을 밝혀냈습니다. 이후 연구에서는 수용성 분획에서 엘라기탄닌인 라거스트로에민과 갈로탄닌이 추가로 발견되었습니다. 특히 **펜타-O-갈로일-글루코피라노스(PGG)**는 인슐린과 유사한 포도당 흡수 촉진 활동을 보였으며, 지방세포에서 항지방 생성 특성도 나타냈습니다. 이로 인해 PGG는 현재의 인슐린 모방 약물과 달리 포도당 흡수와 항지방 생성을 동시에 촉진할 수 있는 잠재력 있는 치료제 후보로 주목받고 있음.
[논문서칭4] 또다른 활성성분 엘라기탄닌과 관련된 연구 논문

연구결과: Lagerstroemia speciosa 잎에서 추출한 다양한 추출물(LE1-8)의 항당뇨 효과를 비교. 엘라기탄닌은 GLUT4를 활성화하고, 엘라그산 유도체는 억제 효과를 보였음. 추출물들은 시험관 내 포도당 흡수 및 지방세포 분화, 그리고 알록산 유도 당뇨병 마우스 모델에서 평가되었음. LE1, LE3, LE4, LE5, LE7 추출물은 공복 혈당 감소, 체중 및 체지방 감소, 혈청 바이오마커 개선, 인슐린 수치 증가 등에서 뚜렷한 항당뇨 효과를 보였음. LE8은 중간 정도의 효과를, LE2와 LE6은 약간의 효과를 나타냈음.
오늘 바나바잎추출물의 효능을 검색하면서 다양한 연구가 이루어진 것을 볼 수 있었네요.
독성도 나타나지 않고, 혈당을 down 시키는 효과가 탁월한 성분 함유.
메탄올 추출물에서 코로솔산 // 수용성 분획에서 엘라기탄닌인.
고로 빨간통이 효과를 발휘할 수 있는 여지가 충분한 거 같은 나의 생각.